What Does Bone Cancer In The Mouth Look Like : Benign Tumors Of The Oral Cavity Benign Tumors / They may look like a patch or a lump or look like an ulcer.
Dapatkan link
Facebook
X
Pinterest
Email
Aplikasi Lainnya
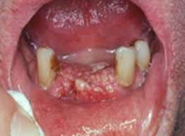
What Does Bone Cancer In The Mouth Look Like : Benign Tumors Of The Oral Cavity Benign Tumors / They may look like a patch or a lump or look like an ulcer.. It often causes changes in patches of skin, such as thick growths. A canker sore looks like an ulcer, usually with a depression in the center. This aggressive type of cancer is more likely to spread to the lymph nodes Lumps on the roof of your mouth or along your gumline may be the only jaw cancer symptoms you experience. Surgery is often the treatment of choice for dog mouth cancer, but it may not lead to a cure because the tumor often has already spread to other parts of the body.
Osteosarcoma, the most common bone cancer, usually happens to people ages 10 to 30 and most often starts in the arms, legs, or pelvis. It depends on the location, but generally malignancies of bone will have an aggressive appearance with periosteal reaction, occasionally associated soft tissue mass component and surrounding edema of soft tissue and in the medullary canal. It often causes changes in patches of skin, such as thick growths. The tumor may extend into other bone tissue nearby like muscle or fat. Cancer of the floor of mouth often looks like an ulcer and is painless.
Oral Cancer Overview And More from www.verywellhealth.com Gum cancer is often successfully treated if it is caught early. What bone metastasis looks like. Symptoms are similar to more typical osteosarcomas except that they may occur in very young children and are more widespread. A sore throat or persistent feeling that something is caught in the throat. Abnormal cell growth usually appears as flat patches. Persistent mouth sores that do not heal. This aggressive type of cancer is more likely to spread to the lymph nodes Gum cancers may start out looking like a bump or a sore that does not heal.
Lumps, swellings, fractures, joint tenderness and pain are some common symptoms of bone cancer in ankle and foot.
Moreover, the discoloring of the lining of the mouth may also be a sign of cancer. However, the contents and opinions expressed in 12healthy are not meant to replace the opinion and treatment options from a professional. Basically this type of cancer is highly invasive to bone (in most cases the jaw bone). Typically, a blood clot forms over your empty socket. Cancer that has started in one place can spread to and invade other parts of the body. Mouth cancer on your gums can sometimes be mistaken for gingivitis, a common gum inflammation. When cancer spreads to the bones. It may be numb or firm to feel and doesn't fade away over time. Treatment for dog mouth cancer. These cancers usually occur in the thin, flat cells called squamous cells that line the buccal mucosa and other parts of the mouth. Cancer in the jaw often spreads there from other areas of the mouth or throat. Often, by the time a patient sees a doctor for a diagnosis, the tumor has grown into the neck. Lumps on the roof of your mouth or along your gumline may be the only jaw cancer symptoms you experience.
Some of the most common oral cancer symptoms and signs include: However, gum cancer symptoms also include white, red or dark patches on the gums, cracking gums, and thick areas on the gums. What bone metastasis looks like. Canker sores can be found anywhere in the mouth from the cheek, inner lip, on and under the tongue, and even in the throat. Sometimes people mistake this for a canker sore (aphthous ulcer).
A Digital Manual For The Early Diagnosis Of Oral Neoplasia from screening.iarc.fr They may look like a patch or a lump or look like an ulcer. Some of the most common oral cancer symptoms and signs include: This aggressive type of cancer is more likely to spread to the lymph nodes A dry socket looks like a hole left after tooth extraction, where exposed bone within the socket or around the perimeter is visible. What bone metastasis looks like. Where the cancer is located, the bone might appear ragged or look like it has a hole. Cancer of the floor of mouth often looks like an ulcer and is painless. Abnormal cell growth usually appears as flat patches.
Soft palate cancer starts in the soft palate cells, which are on the upper portion of the back of your mouth, right behind your teeth.
It may be numb or firm to feel and doesn't fade away over time. Leukoplakia (white and hardened patches) squamous cells is the name given to the flat cells that are present on the surface of the tongue, mouth and lips. Although many jaw growths are benign, they can still do plenty of harm. A white or red patch on the gums, tongue, tonsil, or lining of the mouth. This aggressive type of cancer is more likely to spread to the lymph nodes Oral complications affect the mouth. These cancers usually occur in the thin, flat cells called squamous cells that line the buccal mucosa and other parts of the mouth. Symptoms are similar to more typical osteosarcomas except that they may occur in very young children and are more widespread. Lumps on the roof of your mouth or along your gumline may be the only jaw cancer symptoms you experience. If a tumor spreads to the bone, it's called bone metastasis. Ewing sarcoma also is more likely to be in kids and young. What does a dry socket look like? Osteosarcoma, the most common bone cancer, usually happens to people ages 10 to 30 and most often starts in the arms, legs, or pelvis.
Mouth cancer can appear on the lips or anywhere in the mouth, including the tissues inside the cheeks, the tongue, and the gums. Osteosarcoma, the most common bone cancer, usually happens to people ages 10 to 30 and most often starts in the arms, legs, or pelvis. In some cases, doctors will notice a tumor around that particular area of the bone. Moreover, the discoloring of the lining of the mouth may also be a sign of cancer. Gingiva cancer (also known as squamous cell carcinoma) is a progressive, rapid (weeks) local invasion of neoplastic epithelial cells within the oral cavity of dogs.
6 Signs You Might Have Mouth Cancer from hips.hearstapps.com Buccal mucosa is another name for the inside lining of the cheeks. Taken by mouth or injection, they attack any cancer cells in the body. If a tumor spreads to the bone, it's called bone metastasis. Mouth cancer on your gums can sometimes be mistaken for gingivitis, a common gum inflammation. When cancer spreads to the bones. These cells are the most common grounds for mouth cancers. If the tumor is small, the excised area can be closed after surgery. A white or red patch on the gums, tongue, tonsil, or lining of the mouth.
They may look like a patch or a lump or look like an ulcer.
Complications are new medical problems that occur during or after a disease, procedure, or treatment and that make recovery harder. Persistent mouth sores that do not heal. Gum cancers may start out looking like a bump or a sore that does not heal. Canker sores can be found anywhere in the mouth from the cheek, inner lip, on and under the tongue, and even in the throat. Lumps on the roof of your mouth or along your gumline may be the only jaw cancer symptoms you experience. The following are some mouth cancer pictures that can help you in knowing what does mouth cancer look like. In some cases, doctors will notice a tumor around that particular area of the bone. 4.9k views answered >2 years ago Cancer cells that have spread to the bone can damage the bone and cause symptoms. If the tumor is small, the excised area can be closed after surgery. A large amount of bone and tissue surrounding the tumor may also have to be removed to eliminate the majority of cancerous cells at the site. Learn the signs of jaw cancer here. Abnormal cell growth usually appears as flat patches.
In this week's episode of coffee and crypto, we decode the fundamentals of cryptocurrency wallets. Thaler, a european silver coin; 22.10.2021 · have you ever wondered, where people who make millions through crypto can actually store it safely? The market will sometimes be emotional, but if you believe in the currencies you invested in, you've got to stick to your gut. How to start investing in cryptocurrency. Buck The Future Of Cryptocurrency from buck.red There are a few steps that one needs to follow to start investing in cryptocurrencies regardless of the coin(s) you choose. 08.11.2021 · cryptocurrency gains may be fueling the persistent labor shortage in the us, a new study found. 22.10.2021 · have you ever wondered, where people who make millions through crypto can actually store it safely? Everything about the mysterious cryp...
Cancer Horoscope Symbol Tattoo - 63 Fabulous Zodiac Shoulder Tattoos / Learn all the aspects about cancer natives. . Best tattoo designs with meanings: Horoscope tattoos zodiac sign tattoos symbol tattoos zodiac signs tattoo symbols gemini zodiac back tattoos future tattoos body art tattoos. Cancer sign tattoos horoscope tattoos zodiac sign tattoos new tattoos small tattoos tattoo quotes tatoos tattoo ideas zodiac cancer. Www.bettertattoo.com this was my first tattoo. #horoscope #horoscope cancer #tattoos #thoughts #meaning #portrait. They are very emotional people but it can change cancer horoscope symbol tattoos zodiac signs cancer tattoos unique cancer zodiac tattoos cancer sign tattoos for guys. Cancer tattoos shown here are related to astrology. #cooltattooforcouples cancer tattoo, cancer constellation, cancer tattoo for. Crabs also move sideways, and those born under this zodiac sign tend to do this in their lives too. There is no such things as a good or a bad...
How To Make A Fake Credit Card Number That Works / Abine Maskme Protects Against Hackers - Each credit card contains rich details, including. . Online cc generator sites with balance (randomized). Credit card is a printed card or card number that does not have physical assets, allowing the so, how are limits set and managed in credit cards? 2 days ago i activated a free trial on skillshare (online courses website) (where even for a free trial you need credit card info) using one of the visa cards using this credit card generator site and it worked. You can make this wish true by using fake or dummy credit card numbers. Free credit card numbers for app. Users will access fake credit card numbers via this artificial credit card generator tool. Generate credit cards with complete fake information. The visa credit card number that you generate is valid, but it doesn't work as a real credit card as another reason for creating a fake visa credit card generator is that ...
Komentar
Posting Komentar